石家庄九州皮肤病医院 > 尖锐湿疣 > > > 尖锐湿疣症状治疗用什么方法好呢?尖锐湿疣在临床上虽然是存在着复发的几率,但是得了尖锐湿疣的患者还是应当放松自己压力负担的,其实尖锐湿疣若是科学的诊断治疗还是可以彻底根治的,所以尖锐湿疣患者要注意坚定信心,要注意能够坚持科学的治疗。当然,在尖锐湿疣的治疗上目前还是有很多药物方法的,而常见的是一些免疫性药物或者抗病毒性药物,不过患者还是应当根据自己病情去选择适合自己的方法,这样才能彻底的根治尖锐湿疣。

药物疗法:使用口服或外用药物经行治疗。虽然药物治疗较方便,容易操作,但一般需重复多次,并且治疗的效果不明显,一般的药物治疗很难治愈尖锐湿疣。并且医师在选择药物时需要根据患者的具体身体情况进行选择,在临床上一般不推荐使用药物疗法。
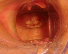
激光治疗尖锐湿疣 :激光治疗是目前普遍使用的治疗方法,常用的是二氧化碳激光,烧灼疣体,通常1次就可脱落。激光治疗的效果也比较好。治疗的特点是见效快,疣体随即就可脱落。但是由于激光束比较集中,导致了这种治疗只适用于疣体较小的尖锐湿疣,对于较大的疣体,激光治疗很容易复发,并且患者的通过比较大下面介绍治疗尖锐湿疣有效的方法。
微波治疗:这是90年代以后逐渐兴起的一种治疗方法,这种方法需要使用微波手术治疗机,利多卡因局麻,将杆状辐射探头尖端插入尖锐湿直达疣体基底,当看到就体变小、颜色变暗、由软变硬时,则热辐射凝固完成,即可抽出探头,微波凝固的病灶可以用镊子挟除。但是这种方法需要经过多次的治疗。它的特点是疣体破坏彻底,但是损伤面恢复较慢,容易继发感染。所以,这种治疗特别适用于疣体较大的,孤立,远离包皮系带的尖锐湿疣。
目前,临床上治疗hpv的一些传统疗法如:激光、冷冻、手术等疗法,存在治疗不彻底、疗程较长、易留疤痕等弊端。其中,最难以突破的就是治疗后hpv反复复发的难题。传统疗法主要是去除表面的疣体,并没有真正去除患者体内的毒素,就像割韭菜一样,把韭菜的根儿留下了,很快就会长出新的来。所以,治疗hpv关键在于铲除患者体内的毒素是关键!
尖锐湿疣症状治疗用什么方法好呢?尖锐湿疣在生活中是很常见的一种传染性性病,对患者健康和生活都是可以造成不小损害的,所以得了尖锐湿疣的患者一定要尽快的治愈才行。在针对尖锐湿疣的治疗上患者需要正确的选择方法,一定要切记不能够认为只是消除症状就彻底根治了,而是需要患者能够彻底的消除尖锐湿疣的病毒,这样才能够让患者彻底的摆脱湿疣的危害。
温馨提示:倘若您想了解更多石家庄九洲皮肤病医院的最新信息。您可以拨打免费咨询热线:400-812-1066;或请在线咨询专家。