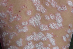
石家庄九州皮肤病医院 > 牛皮癣 > 治疗牛皮癣的药 > > > 牛皮癣患者应当如何选择中医药治愈缓解损害呢?牛皮癣是表现在皮肤上的慢性炎症非传染性疾病,所以患者不要担心牛皮癣传染问题,在生活中应当注意科学正确的选择方法去治疗自己的牛皮癣才是第一考虑。在针对牛皮癣的药物治疗上,很多患者首先想到的是外用药物治疗。但是面对繁多复杂的外用药物患者切记要正确选择,一方面要注意外用药物的安全科学性,不要选择副作用较大的带有激素药性治疗,避免加重自己的病情负担。

牛皮癣疾病是一种非常常见的皮肤病变,而且异常顽固的,很多患者都是反复发作,给病人造成无穷尽的伤害。很多患者感觉西医治疗的效果不佳,而采取中医疗法。中医中能治疗牛皮癣的药物有很多,下面就分类为大家介绍一下。
肺肾阴虚,血虚化燥型
组成:金银花60克,白芍18克,麦冬18克,阿胶18克(烊化),沙参18克,甘草24克,僵蚕9克,芥穗9克,防风9克,木瓜9克,威灵仙9克,黄芩9克,丹皮9克,丹参9克,生首乌30克,生地28克。
用什么中药治疗牛皮癣效果好?用法:水煎服,每日1剂,日服2次。治法:滋补肺肾,祛风润燥。
湿热之邪,客于皮肤
组成:土茯苓30克,生槐花30克,甘草9克。
用法:水煎服,每日1剂,日服2次。另可泡水代茶饮。治法:除湿、清热、解毒。
湿毒内蕴,血热受风
组成:茺蔚子15克,炒荆芥10克,板蓝根15克,银花15克,紫草皮15克,生地15克,丹皮15克,茯苓10克,白术10克,白藓皮15克,甘草3克。
用法:水煎服,每日1剂,日服3-5次。治法:清热除湿,凉血散风。
热入血分,外发斑疹
组成:生地15克,赤芍9克,丹皮15克,紫草15克,双花15克,土茯苓30克,生苡仁30克,蛇蜕12克,黄连6克,荆芥炭6克,生石膏30克,知母15克,生甘草6克。
用法:水煎服,每日1剂,日服2次。治法:凉血,清热,解毒,利湿。
牛皮癣患者应当如何选择中医药治愈缓解损害呢?治愈之后患者也是需要做好防复发措施,在生活中牛皮癣患者一定要注意各个方面的细节问题,例如饮食上,患者需要注意避免吃辛辣刺激的食物,应当多吃一些含有维生素的蔬菜和水果,另外,对于牛皮癣患者需要注意减缓自己的精神压力,应当转移自己的免疫力,这样才能够避免患者受到更严重的压力。而对于牛皮癣患者应当注意避免搔抓自己的皮肤,应当注意保护好自己的皮肤才好。
温馨提示:倘若您想了解更多石家庄九洲皮肤病医院的最新信息。您可以拨打免费咨询热线:400-812-1066;或请在线咨询专家。