石家庄九州皮肤病医院 > 牛皮癣 > > > 银屑病初期是不是不能得到完全的治疗呢?银屑病若是不能够及时的治疗会对患者造成很大损害的,所以得了银屑病的患者是应当注意选择医院和科学的方法去针对性治疗的,不过在银屑病的治疗上患者是应当注意慎重选择方法的,所以对于银屑病患者是一定要注意科学选择药物的。

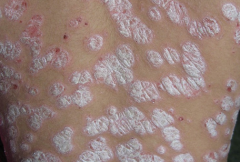
银屑病初期主要以寻常型银屑病为主,初期症状为针头或绿豆大小红色点疹,逐渐扩大,有的点疹互相隔合形成斑片。表面覆盖有干燥的银色鳞屑,轻轻刮除鳞屑,可见小片血点,这就是该病的特征。临床上多数患者皮疹表现为冬春季加重而夏秋季节自然减轻。因冬春季节气候寒冷、干燥,表皮血管收缩,皮肤供血差,肌肤失养所致。在个体免疫机能失调的情况下,可以导致该病的诱惑是缺乏抵抗力从而致病。
在目前的医疗界发展的水平来讲,银屑病并不是不治之症,是可以临床痊愈的,但是一定要正规的合理的治疗才有望真正的治愈。目前内服、外用药物品种日趋增多,确实有不少药物治疗银屑病近期疗效较好,但有些药物毒副作用很大,对肝、肾功能有一定影响,容易引起白细胞减少,血小板降低,不少病人停药后银屑病复发严重。
患者朋友一定要提防假医庸医,注意药物的毒、副作用,以免延误病情、加重或造成经济损失,这是银屑病怎么治疗的关键。银屑病患者在临床痊愈时,虽然皮肤表面的症状已经消失,但患者体内仍不是很稳定,这也是很多患者反复复发的原因,所以建议银屑病患者达到临床治愈后,再巩固治病2~3个月,控制银屑病不复发。
身为银屑病患者要想真正彻底清除皮损症状,就要去银屑病专科医院去对症治疗。专业的银屑病医院治疗银屑病,会针对病情进行因人而异的辩证施治,通过全面系统的诊断与治疗,并对患者治疗的整个过程进行详尽细致的跟踪,解除患者银屑病治疗过程前、中、后的一切后患。
不管是什么疾病,在早期积极的治疗都是好的。而像银屑病这样一种易扩散的疾病,早期正确的治疗更是有利。一般认为,银屑病患者的最佳治疗时机是病情稳定期,也就是患处面积不再继续扩大的情况持续3-6个月。银屑病患者一定要抓住治疗白癜风的最好时机。另外,在治疗的同时一定要养成良好的饮食习惯,对于病情的康复是很重要的。
提醒患者银屑病并非不治之症,可以临床痊愈,但银屑病的治疗难度很大,治疗周期较长,患者一定要及时到正规医院接受专业的治疗,不要盲目,以免加重病情,给今后的治疗带来更大的困难。
银屑病初期是不是不能得到完全的治疗呢?在银屑病的治疗上患者也不能单单是医学治疗,生活中的防护护理也是非常重要的,也是可以直接影响到患者治疗效果的。
温馨提示:倘若您想了解更多石家庄九洲皮肤病医院的最新信息。您可以拨打免费咨询热线:400-812-1066;或请在线咨询专家。